GENERAL TREATMENTホワイトニング
当院ではオフィスとホームのホワイトニングを提供し、患者様の歯に負担をかけずに白さを引き出します。安全で快適な治療を追求し、明るい笑顔をサポートします。
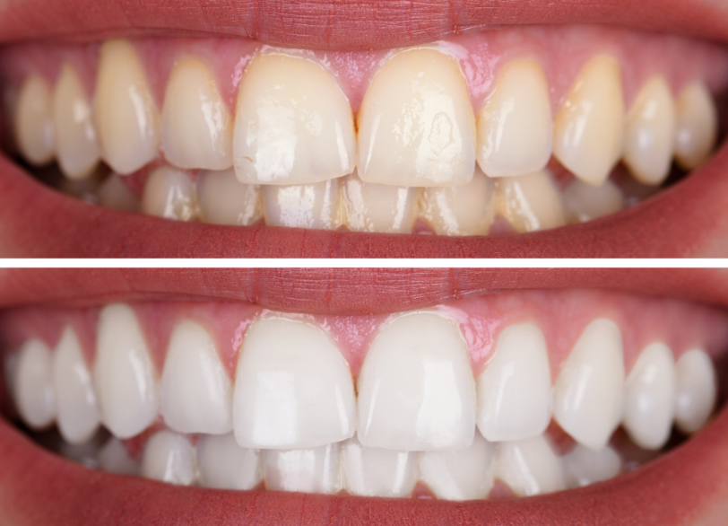
輝く笑顔を手に入れるホワイトニング治療
ホワイトニングは、歯を白く美しくすることで、笑顔や全体の印象を明るく変える人気の美容法です。
かながわ歯科医院では、患者様のライフスタイルやニーズに合わせたホワイトニングメニューをご用意し、健康的で自信あふれる笑顔づくりをサポートします。
ホワイトニングがもたらす効果
第一印象がアップ
白く輝く歯は、清潔感や明るさを与え、第一印象を大きく向上させます。
面接や写真撮影、結婚式などの特別な場面にも最適です。
笑顔に自信が持てる
歯が白くなることで笑顔に自信が生まれ、人と会話するのが楽しくなります。
日常生活や社交の場でも、積極的に笑顔を見せられるようになります。
若々しさの演出
黄ばんだ歯を白くすることで、顔全体が若々しく健康的な印象になります。
かながわ歯科医院のホワイトニングメニュー
オフィスホワイトニング
オフィスホワイトニングは、歯科医院内で専門スタッフが施術を行うホワイトニング方法です。
専用の薬剤と光を用いて短時間で効果を得ることができるため、すぐに歯を白くしたい方に適しています。
薬剤は歯科医院専用の高濃度のものを使用するため、短期間で明らかな変化を実感できます。

メリット
- 即効性があり、1回の施術でも歯が白くなる
- 専門スタッフが行うため、安心して治療を受けられる
- 特別なイベントや急な予定に向けて短期間で結果を出せる
流れ
- 事前のカウンセリングで患者様の希望を伺います。
- 歯の汚れや歯石を除去し、ホワイトニングの効果を最大化します。
- 専用の薬剤を歯に塗布し、光を照射します。照射時間は数分程度で、個々の歯の状態に応じて調整します。
- 治療後は歯の状態を確認し、アフターケアのアドバイスを行います。
注意点
施術後は飲食物の影響を受けやすいため、24~48時間は着色しやすい食品(コーヒー、紅茶、赤ワインなど)の摂取を避けることが推奨されます。
オフィスホワイトニングは効果が早い反面、持続期間を延ばすためには定期的なケアやメンテナンスが必要です。
ホームホワイトニング
ホームホワイトニングは、患者様がご自宅で自分のペースで行えるホワイトニング方法です。
歯科医院で専用のマウスピースを作成し、薬剤を使用して毎日少しずつ歯を白くしていきます。
時間をかけて徐々に白くするため、自然な仕上がりになるのが特徴です。

メリット
- 自分のペースで取り組める
- 長期間の効果が期待できる
- 自然な白さで仕上がるため、歯の色が不均一になりにくい
流れ
- まず、歯科医院で歯型を取って患者様専用のマウスピースを作成します。
- ホワイトニングジェルとマウスピースを受け取り、自宅で治療を進めます。
- 指示に従い、毎日一定時間マウスピースを装着します(通常は1~2時間程度)。
- 数週間で徐々に歯が白くなり、理想の色に近づきます。
注意点
ホームホワイトニングは効果が出るまで時間がかかるため、即効性を求める方には適していません。
ただし、一度白くなった歯は色戻りしにくく、持続期間が長いのが利点です。
適切な使用方法を守ることで、知覚過敏などのリスクを減らすことができます。
デュアルホワイトニング
デュアルホワイトニングは、オフィスホワイトニングとホームホワイトニングの両方を組み合わせたホワイトニング方法です。
院内での即効性と自宅での持続性を兼ね備えた治療法で、最も効果的に歯を白くすることができます。
短期間で確実な効果を得つつ、長期間その白さを保つことが可能です。

メリット
- 短期間で理想の白さに近づける
- 効果の持続性が高い
- オフィスホワイトニングの即効性とホームホワイトニングの持続性を兼ね備える
流れ
- 初回の施術ではオフィスホワイトニングを実施し、即効性のある効果を得ます。
- 自宅でホームホワイトニングを継続し、色の定着と持続性を向上させます。
- 必要に応じて、再度院内での施術を行い、色ムラを整えたり、さらなる白さを追求します。
注意点
デュアルホワイトニングは複数のステップを必要とするため、患者様の積極的な取り組みが重要です。
また、費用が高めになりますが、その分高い効果と満足度を得られます。
それぞれのホワイトニング方法には特徴があり、患者様のニーズやライフスタイルに合わせて選ぶことが重要です。
かながわ歯科医院では、患者様に最適なプランをご提案し、美しい笑顔の実現をサポートします。
| 比較項目 | オフィスホワイトニング | ホームホワイトニング | デュアルホワイトニング |
| 実施場所 | 歯科医院 | 自宅 | 歯科医院と自宅 |
| 使用する薬剤と装置 | 高濃度薬剤+特殊光(ホワイトニングライト) | 専用ジェル+カスタムマウスピース | 高濃度薬剤+特殊光(医院)+専用ジェル+マウスピース(自宅) |
| 効果の即効性 | 即効性が高い | 即効性は低い | 即効性と持続性を兼ね備える |
| 効果の持続性 | 比較的短期間(数か月) | 長期間(半年~1年) | 長期間(半年~1年) |
| 白さのコントロール | 歯科医師による調整可能 | 自己管理による調整 | 医師と自己管理の両方が可能 |
| 費用感 | 比較的高い(1回あたり) | 比較的安い(長期使用可能) | 高め(両方の費用がかかる) |
| 所要時間 | 1回約60~90分 | 1日30分~2時間(期間は数週間) | 診療1回60~90分+自宅で数週間ケア |
| 手間 | 短時間で済む | 自宅で継続的なケアが必要 | 診療+自宅ケアの両方が必要 |
| 知覚過敏のリスク | 一時的に発生する可能性あり | 少ない | リスクはあるが、医院でのケアで緩和可能 |
| 推奨される患者タイプ | 即効性を求める方、短期間で効果を実感したい方 | 自然な白さを長期間保ちたい方 | 短期間で白くしたい+持続性を重視する方 |
| メリット | 即効性、プロによる施術、均一な仕上がり | 手軽さ、自分のペースでケア可能、長期的な効果 | 即効性と持続性を両立、より効果的な結果 |
| デメリット | 短期間の持続性、費用が高い | 即効性がない、継続が必要 | 費用が高い、時間と手間がかかる |
| ケアの頻度 | 数か月に1回の通院が必要 | 定期的なジェルの補充が必要 | 診療と自宅ケアを組み合わせた継続的なケア |
安全で安心のホワイトニング治療
歯の健康を守る治療
安全性を確保しながら、歯を白くする治療を提供します。
高品質な薬剤と技術
患者様一人ひとりに合った方法で、最適な結果を追求します。
ストリークレーザーの使用
ホワイトニング治療の流れ
1. 初診とカウンセリング
ホワイトニングの種類や効果、期間について詳しくご説明します。
2. 歯のクリーニング
3. ホワイトニングの実施
4. アフターケア
定期的なメンテナンスで、白さを長期間キープします。
こんな方におすすめです
- 歯の黄ばみやくすみが気になる方
- 笑顔に自信を持ちたい方
- 特別なイベントに備えたい方
- 自然な白さを追求したい方
あなたの理想の白い歯を実現します
かながわ歯科医院では、患者様一人ひとりに合ったホワイトニング治療を提供し、理想の白い歯を実現します。
美しい口元は、人生をより明るくします。
ぜひ一度ご相談ください。